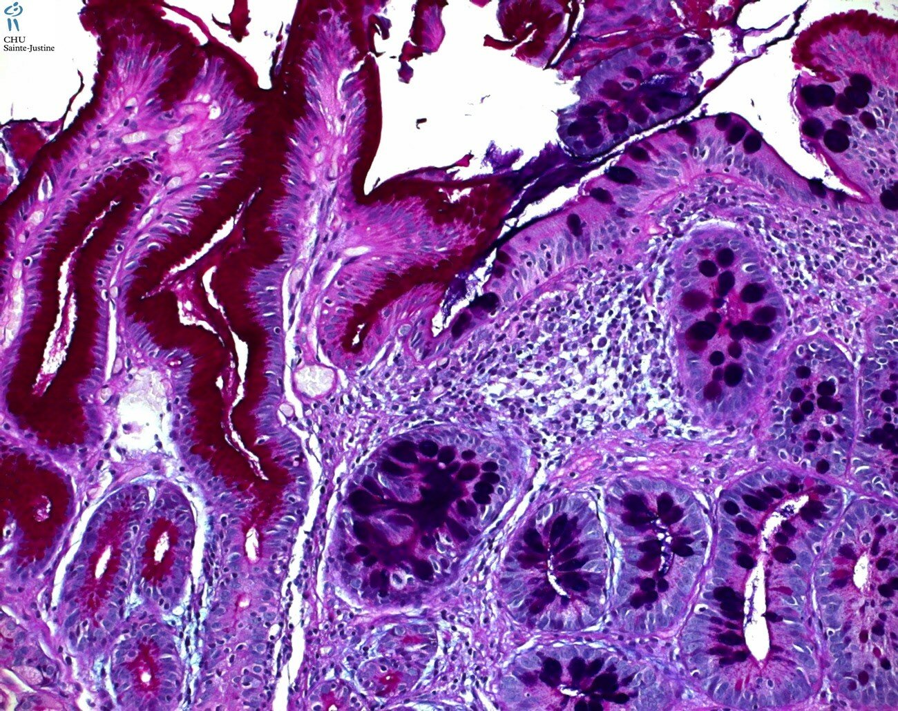
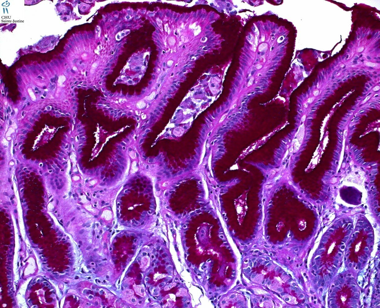
Diagnosis
intestinal metaplasia in stomach
See also
stainings
- alcian blue
- periodic acid-Schiff (PAS)
A website dedicated to human pathology
| PubMed | eMedicine | OMIM | Google | Google images | Yahoo images | YouTube |
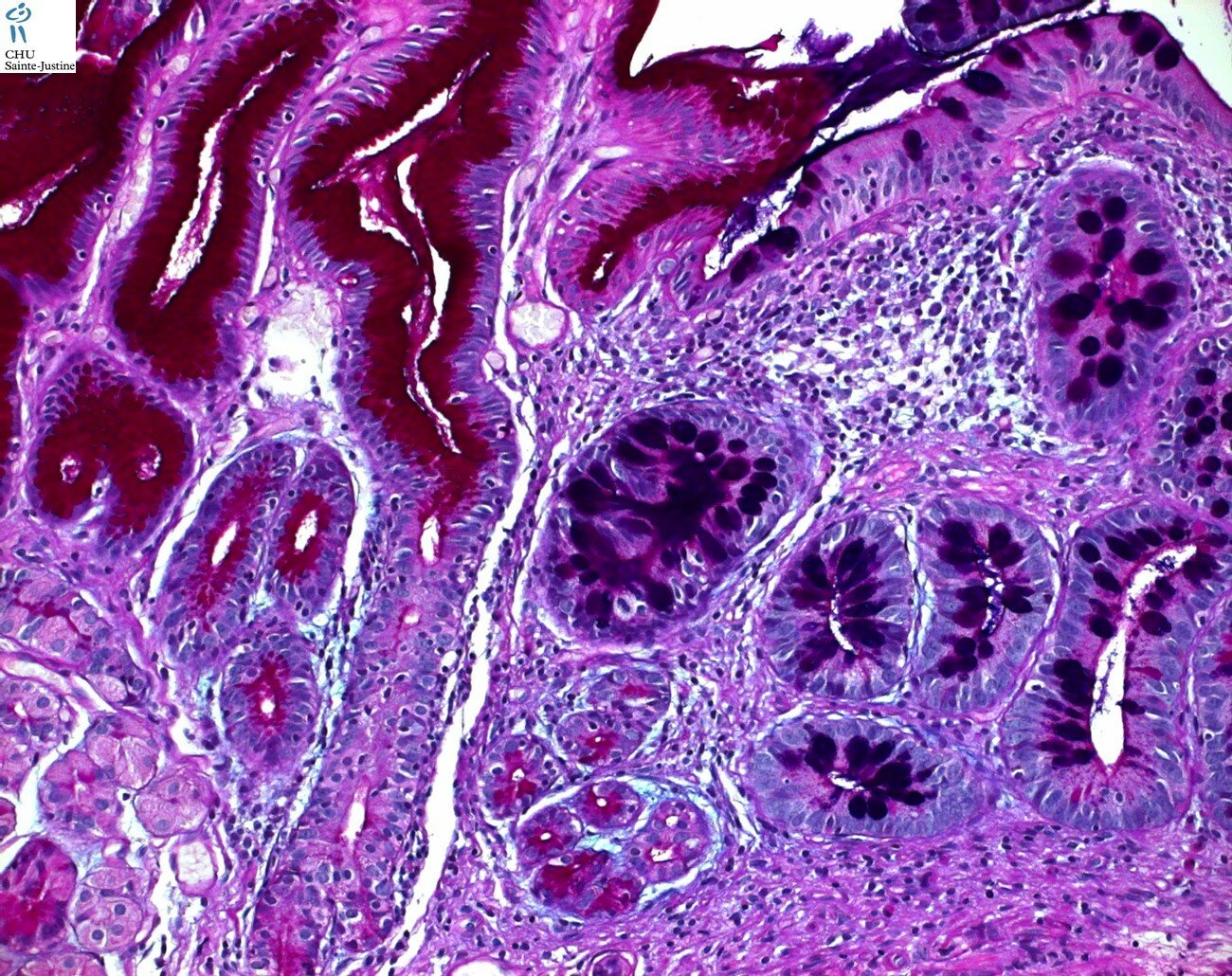
Diagnosis
intestinal metaplasia in stomach
See also
stainings







