Aller directement à la navigation. Aller directement au contenu.

www.Humpath.com

A website dedicated to human pathology

Titles

Text

Google


Home > E. Pathology by systems > Respiratory system > Lungs > invasive pulmonary aspergillosis

| PubMed | eMedicine | OMIM | Google | Google images | Yahoo images | YouTube |

  • Printer friendly version

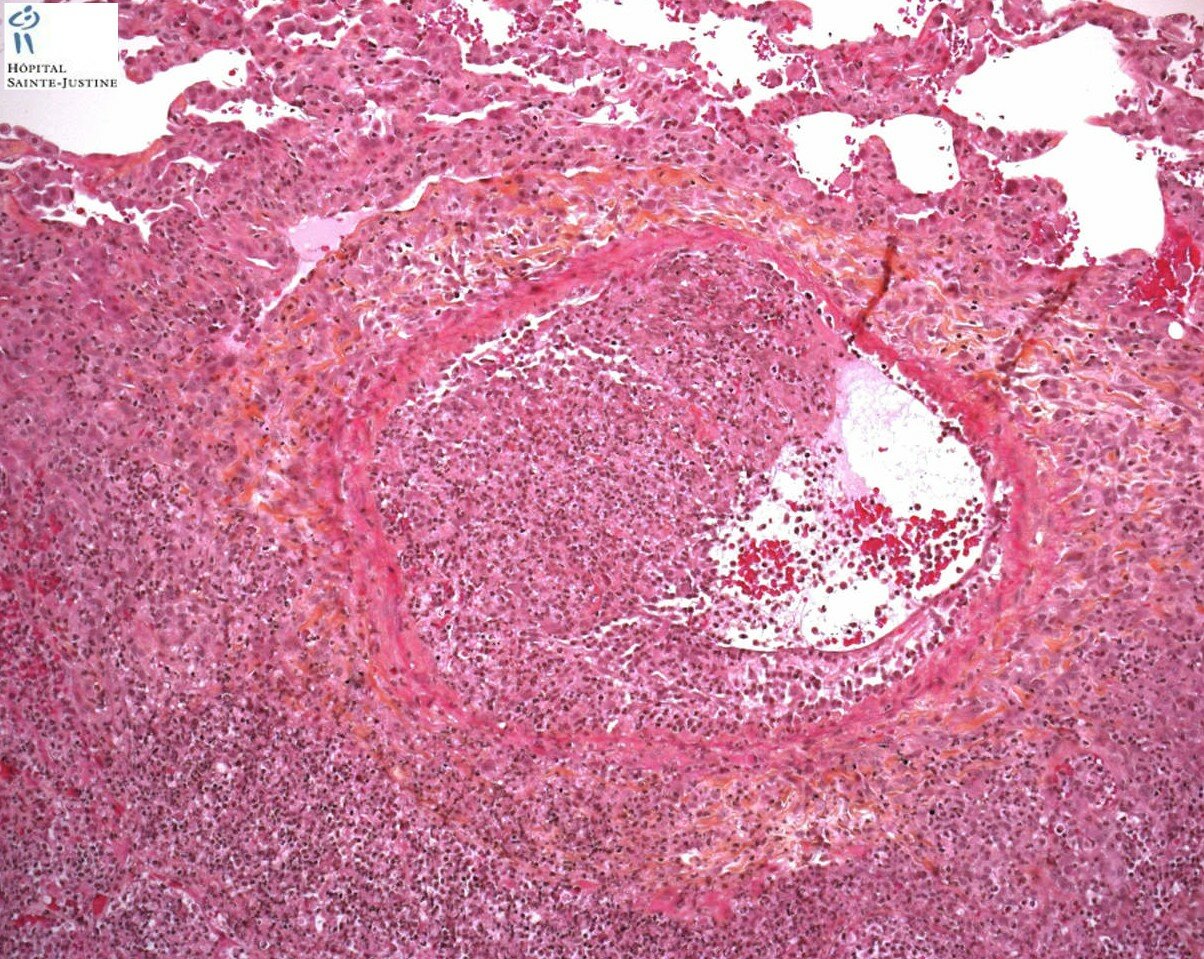
invasive pulmonary aspergillosis

Invasive pulmonary aspergillosis Invasive pulmonary aspergillosis Invasive pulmonary aspergillosis invasive pulmonary aspergillosis invasive pulmonary aspergillosis invasive pulmonary aspergillosis invasive pulmonary aspergillosis invasive pulmonary aspergillosis invasive pulmonary aspergillosis invasive pulmonary aspergillosis invasive pulmonary aspergillosis invasive pulmonary aspergillosis invasive pulmonary aspergillosis invasive pulmonary aspergillosis Invasive pulmonary aspergillosis

Case records

- Case #11369

See also

- pulmonary aspergilloses

Keywords

  • Disease localization
  • Infectious diseases
  • Macroscopical images
  • Microscopical images

Sections

  • A. Molecular pathology
  • B. Cellular pathology
  • C. Tissular pathology
  • D. Systemic pathology
  • E. Pathology by systems
    • Cardiovascular system
    • Digestive system
    • Endocrine system
    • Genital system
    • Locomotory system
    • Nervous system
    • Respiratory system
      • Larynx
      • Lungs
      • Pleura
      • Rhinopharynx
      • Trachea
      • Upper aerodigestive tract
    • Skin
    • Urinary system
  • F. Pathology by regions
  • G. Tumoral pathology
  • H. Case records
  • J. Books
  • K. Info - Admin
  • Resources in pathology
  • Technical section

Images

  • Anatomy (16)
  • Histology (54)
  • Macroscopical images (846)
  • Microscopical images (758)
  • Molecular pathways (4)
  • Pathway TM (4)
  • Physiopathological flow charts (1)
  • Radiographies (5)
  • Ultrasructure (25)

Keywords

Agents 
  • Autoantibodies (1)
  • Bacterias (19)
  • Chemical agents (7)
  • clinicobiological syndrome (1)
  • Diagnostic antibodies (1)
  • Drugs (29)
  • Fungi (9)
  • Group of drugs (1)
  • Helminths (4)
  • Hypomethylated in tumors (1)
  • Infectious agents (123)
  • Infectious process (1)
  • Insects (1)
  • Nematodes (1)
  • Parasites (18)
  • Physical agents (3)
  • Protozoans (2)
  • Toxins (4)
  • Vectors (3)
  • Virus (28)
Books 
  • Book (french) (8)
  • Books 1999 (2)
  • Books 2001 (6)
  • Books 2002 (1)
  • Books 2003 (2)
  • Books 2004 (5)
  • Books 2005 (25)
Clinical 
  • Biological sign (2)
  • Biological syndromes (7)
  • Clinical signs (4)
  • Clinical syndromes (49)
  • Clinicobiological syndrome (2)
  • Functional signs (2)
  • Medical procedure (5)
  • Radiologic anomalies (2)
  • Surgical procedures (4)
  • Therapeutics (15)
Cytogenetics 
  • Amplifications (4)
  • Cancer loci (1)
  • Carcinoma-associated translocations (2)
  • Chromosomal anomalies (22)
  • Chromosomal lesions (2)
  • Fragile sites (2)
  • Leukemia-associated translocations (3)
  • Sarcoma-associated translocations (2)
  • Tumoral chromosomal anomalies (9)
Disease 
  • Disease (945)
  • Disease group (age related) (4)
  • Disease group (etiology) (100)
  • Disease group (localization) (32)
  • Disease group (mechanisms) (21)
  • Disease group (molecular) (27)
  • Disease group (semiology) (12)
  • Disease localization (126)
  • Disease subtype (24)
  • Group of diseases (190)
Diseases (Etiology) 
  • Chromosomal diseases (10)
  • Complex disease (2)
  • Drug-induced diseases (1)
  • Dysimmune diseases (21)
  • Environnemental diseases (1)
  • Etiology unknown (3)
  • Infectious diseases (89)
  • Monogenic disease (351)
  • Multifactorial diseases (2)
  • Parasitic disease (1)
  • Senescence (3)
  • Tumoral diseases (2)
  • Unknown etiology (3)
General 
  • Administration (5)
  • Biographies (14)
  • Case studies (1)
  • Companies (1)
  • Concept (61)
  • Contributors (1)
  • En cours (10)
  • Field (38)
  • History (3)
  • Journal (39)
  • Macroscopy (3)
  • Medical education (11)
  • Medical publishers (4)
  • Pediatric pathology (4)
  • Project (2)
  • Resident course (7)
  • Society (1)
  • Student course (8)
  • Technique (124)
  • Terminology (1)
  • Therapeutics (2)
  • Website (10)
Malformations 
  • Deformations (41)
  • Disruptions (2)
  • Dysmorphology (54)
  • Fetal anomalies (15)
  • Malformation localization (1)
  • Malformation subtype (5)
  • Malformations (301)
  • Malformative associations (19)
  • Malformative disease (1)
  • Malformative groups (79)
  • Malformative lesions (19)
  • Malformative sequences (6)
  • Malformatives syndromes (38)
  • Tissular malformations (35)
  • Vascular malformations (2)
  • Visceral malformations (30)
Molecular 
  • amino acids (5)
  • Carbohydrates (7)
  • Chemical element (3)
  • Developmental pathways (1)
  • Genes (6)
  • Genomic anomalies (2)
  • Glycosaminoglycans (3)
  • Ions (3)
  • Lipids (17)
  • Metabolic pathways (11)
  • miRNAs (3)
  • Molecular anatomy (1)
  • Molecular complex (11)
  • Molecular functions (50)
  • Molecular groups (94)
  • Molecular lesions (9)
  • Molecular medicine (37)
  • Molecular processes (35)
  • Molecular structure (5)
  • Molecules (97)
  • Nucleic acids (34)
  • Proteoglycans (1)
  • Signaling pathways (31)
Morphological anomalies 
  • Artefact (1)
  • Cellular anomalies (7)
  • Cellular lesions (35)
  • Lesional group (105)
  • Lesional syndromes (404)
  • Macroscopical anomalies (47)
  • Macroscopical lesions (294)
  • Macroscopical syndromes (14)
  • Microscopical anomaly (1)
  • Microscopical lesions (225)
  • Pathogenesis (1)
  • Pathological cells (8)
  • Pathological processes (46)
  • Procedures (1)
  • Tissular anomalies (9)
  • Tissular lesions (123)
  • Ultrastructural lesions (5)
Pathological groups 
  • etiological (1)
  • functional (1)
  • local (1)
  • molecular (1)
Physiological 
  • Anatomical component (76)
  • Cell subtypes (24)
  • Cells (81)
  • Cellular components (100)
  • Cellular functions (89)
  • Cellular groups (14)
  • Cellular processes (26)
  • Cellular systems (4)
  • Chromosomal regions (9)
  • Chromosomes (3)
  • Developmental processes (81)
  • Developmental structures (32)
  • Fetal organs (48)
  • Individuals (2)
  • Organ components (98)
  • Organ functions (7)
  • Organs (48)
  • Regions (12)
  • System component (3)
  • Systemic functions (15)
  • Systemic processes (1)
  • Systems (13)
  • Tissues (9)
  • Tissular components (111)
  • Tissular functions (23)
  • Tissular processes (3)
Physiopathological pathways 
  • Autoimmune diseases (8)
  • Connective tissue diseases (1)
  • Dysfunctional diseases (15)
  • Dysimmune diseases (21)
  • Endocrine disease (4)
  • Immunodeficiencies (15)
  • Inflammatory diseases (7)
  • Malformative diseases (67)
  • Metabolic disease (80)
  • Neurodegenerative disease (8)
  • Toxic diseases (2)
  • Tumoral diseases (11)
  • Tumoral predisposition (5)
  • Vascular diseases (8)
Proteins 
  • Activated in tumors (5)
  • Amplified in tumors (21)
  • Autoimmunity targets (8)
  • Biomarkers (1)
  • Cancer genes (97)
  • CDs (9)
  • Functional proteic groups (45)
  • Fusion proteins (46)
  • Human evolution (2)
  • IHC markers (6)
  • Inactivated in tumors (12)
  • Involved in translocations (130)
  • Malformation genes (38)
  • Mutated in human diseases (557)
  • Mutated in tumors (17)
  • Overexpressed in tumors (32)
  • Proteic complexes (63)
  • Proteic domains (2)
  • Protein families (286)
  • Protein groups (57)
  • Protein subfamily (3)
  • Protein superfamilies (63)
  • Proteins (1396)
  • Putative cancer genes (3)
  • Tumor suppressor protein (45)
  • Underexpressed in tumors (4)
  • Variants in disease predisposition (42)
Tumors 
  • Architectural pattern (14)
  • Benign tumors (4)
  • Carcinomas (10)
  • Cytological pattern (4)
  • Leukemias (11)
  • Lymphomas (1)
  • Malignant tumors (10)
  • Multigenic tumorigenesis (2)
  • Orphan tumors (14)
  • Pediatric tumors (16)
  • Sarcomas (3)
  • Sof tissue tumor (22)
  • Translocation-associated tumors (9)
  • Tumor (524)
  • Tumoral cells (5)
  • Tumoral groups (261)
  • Tumoral localizations (188)
  • Tumoral subtypes (114)
Videos 
  • Biology videos (141)
  • Endoscopy videos (21)
  • Histology videos (111)
  • Histopathology videos (123)
  • Laparoscopy videos (1)
  • Physiopathology videos (3)
  • Tumoral predisposition (7)

Revenir en haut de la page ^

  • Web design byPBcom.net