Kostmann disease (MIM.610738) is the autosomal recessive form of severe congenital neutropenia (SCN3). SCN3 is caused by homozygous mutations in the HAX1 gene (MIM.605998).
History
The Swedish physician Rolf Kostmann (1956) described an autosomal recessive hematologic disorder, termed infantile agranulocytosis, with severe neutropenia with an absolute neutrophil count below 0.5 x 10(9)/l and early onset of severe bacterial infections.
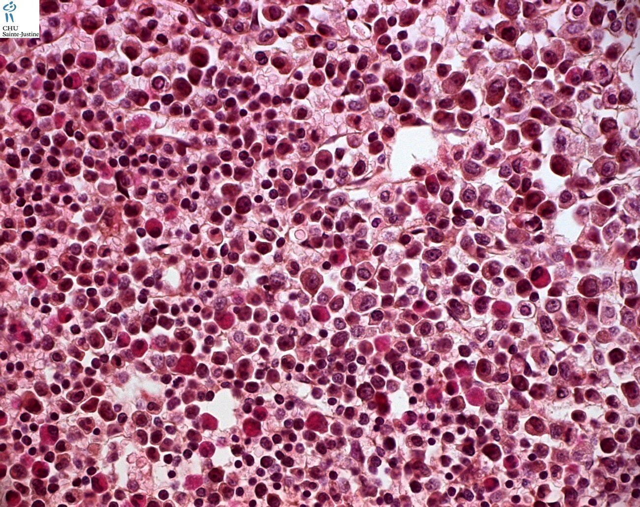
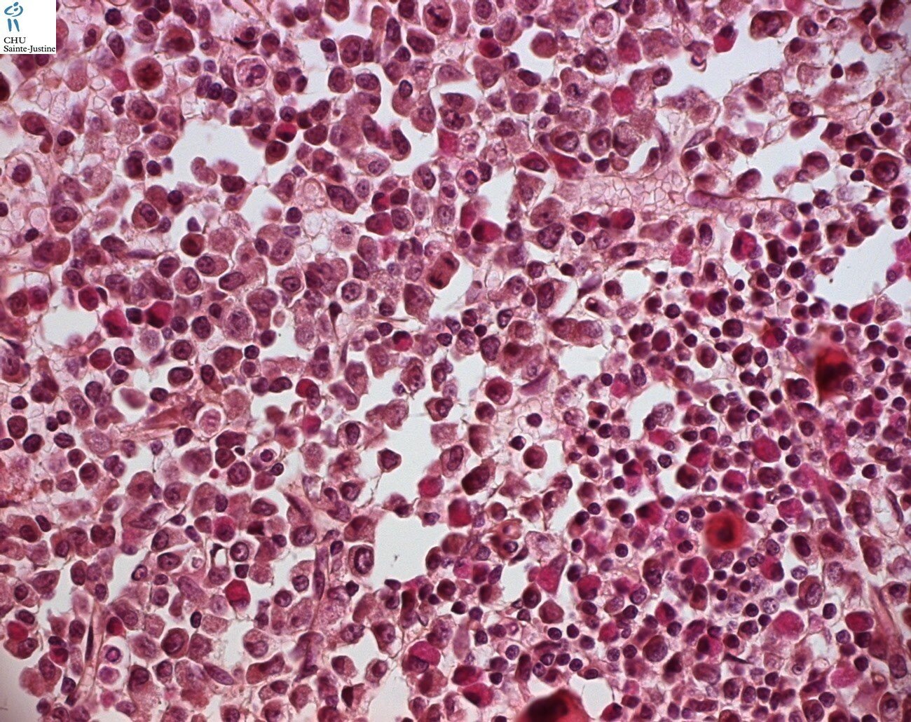
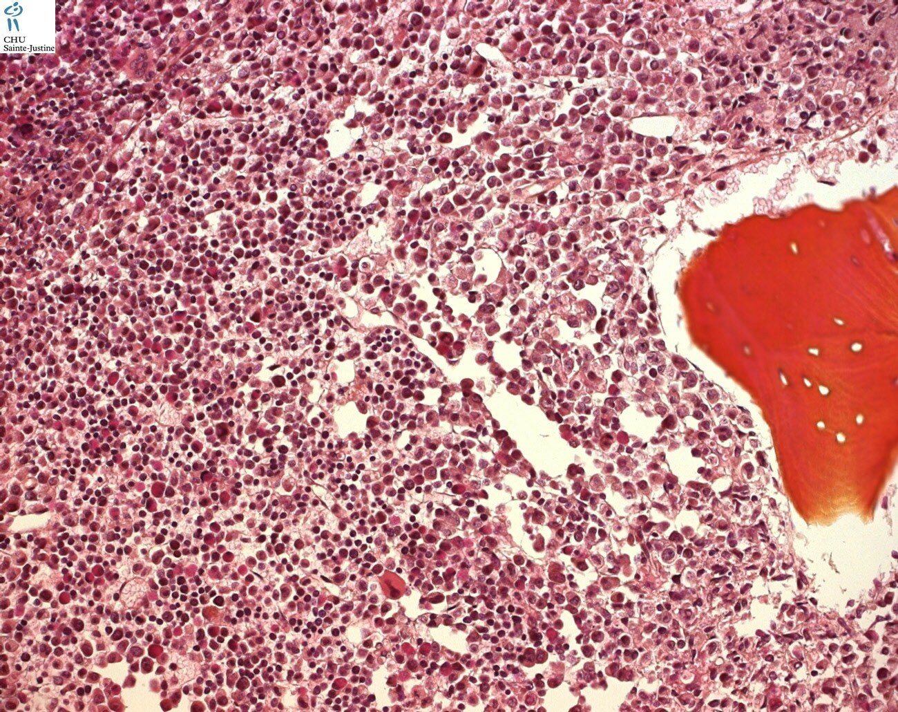
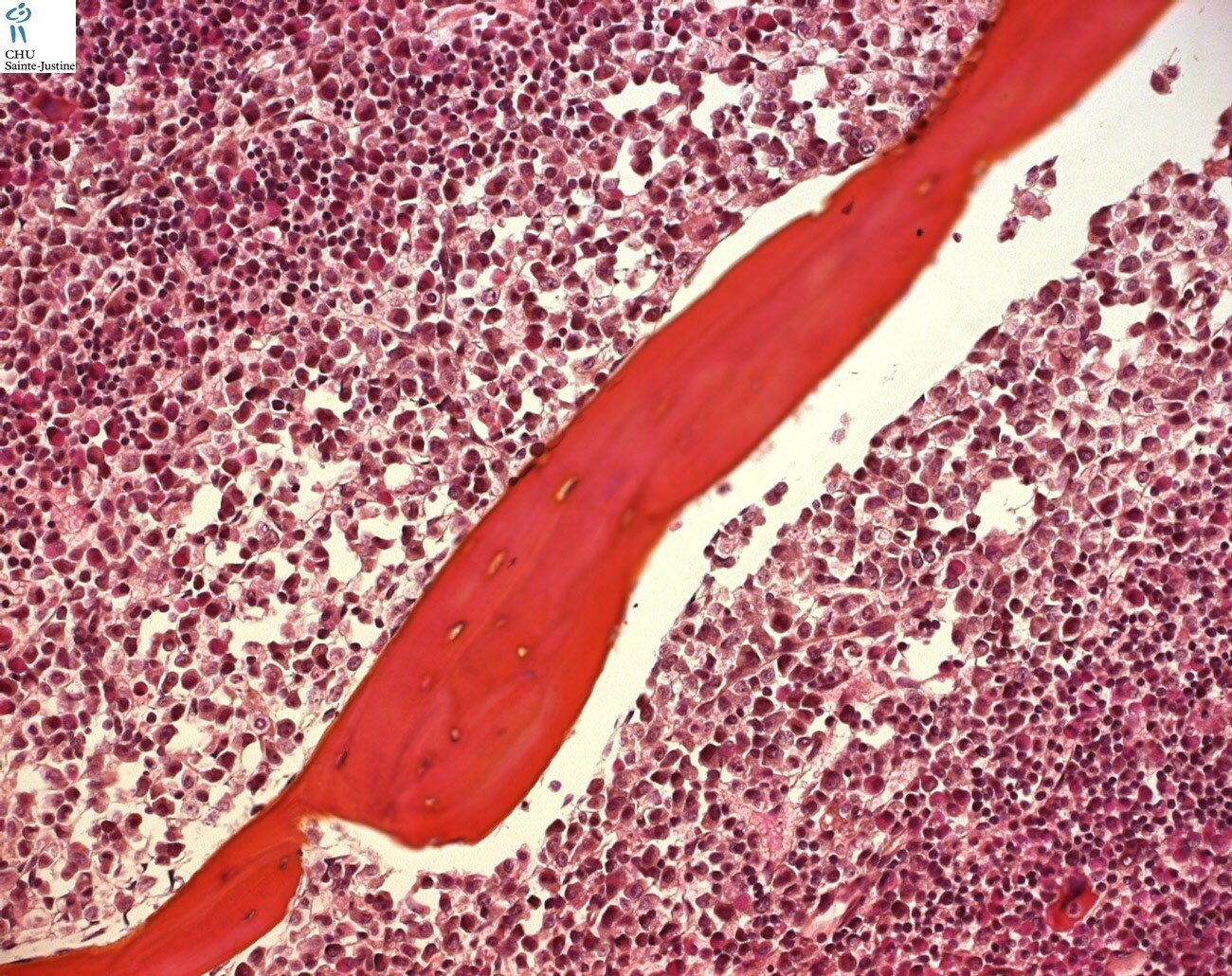
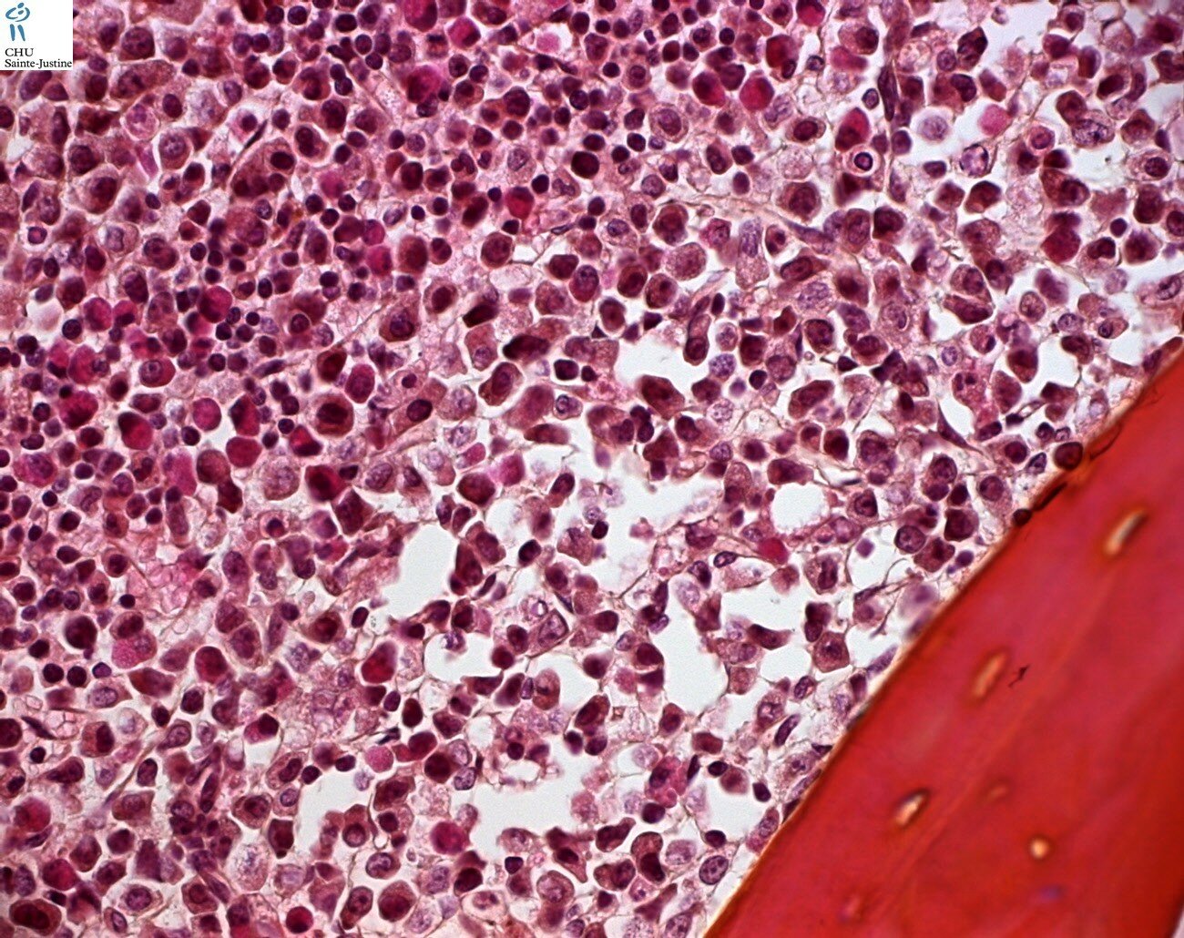
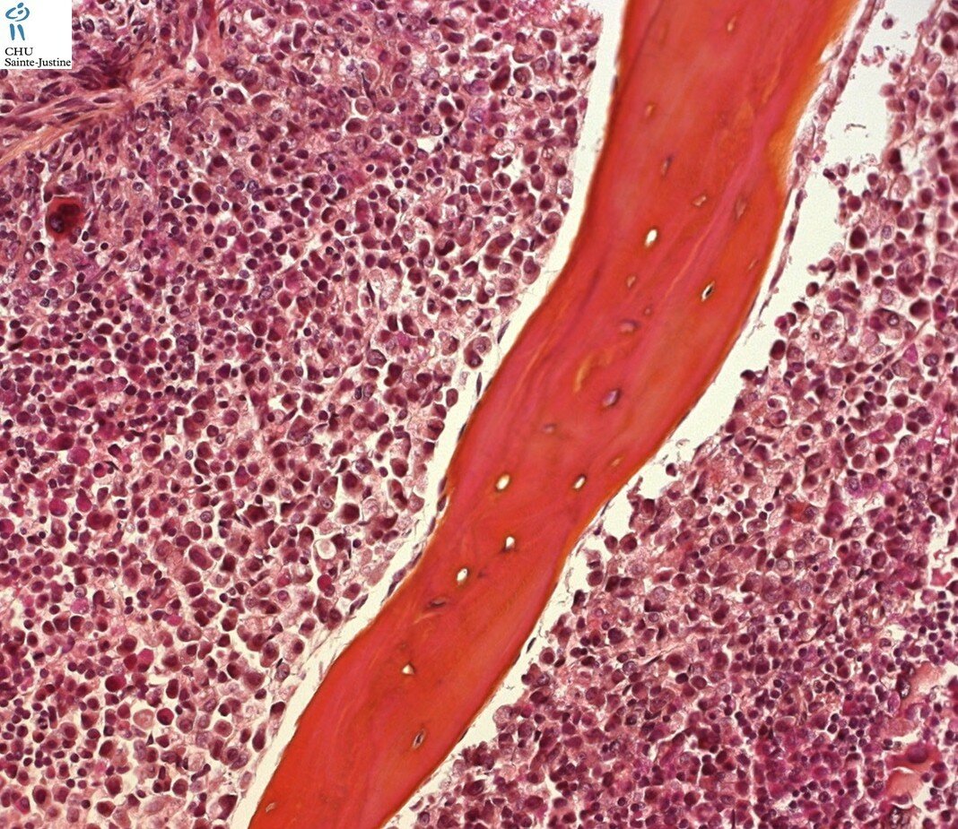
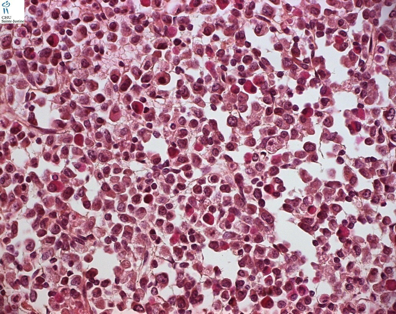
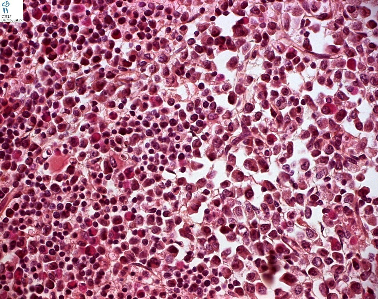
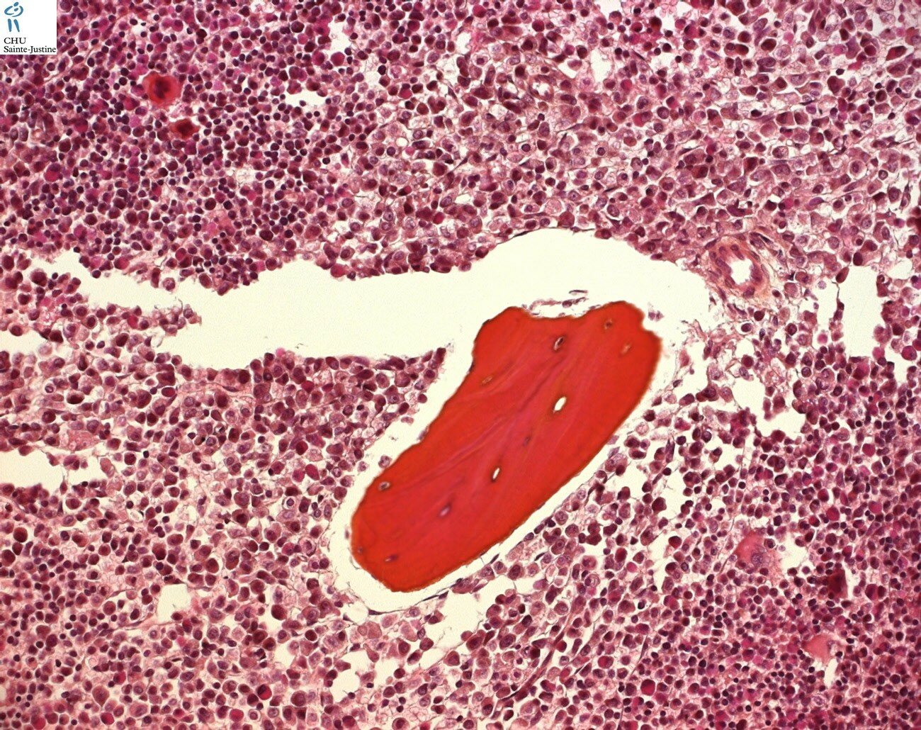
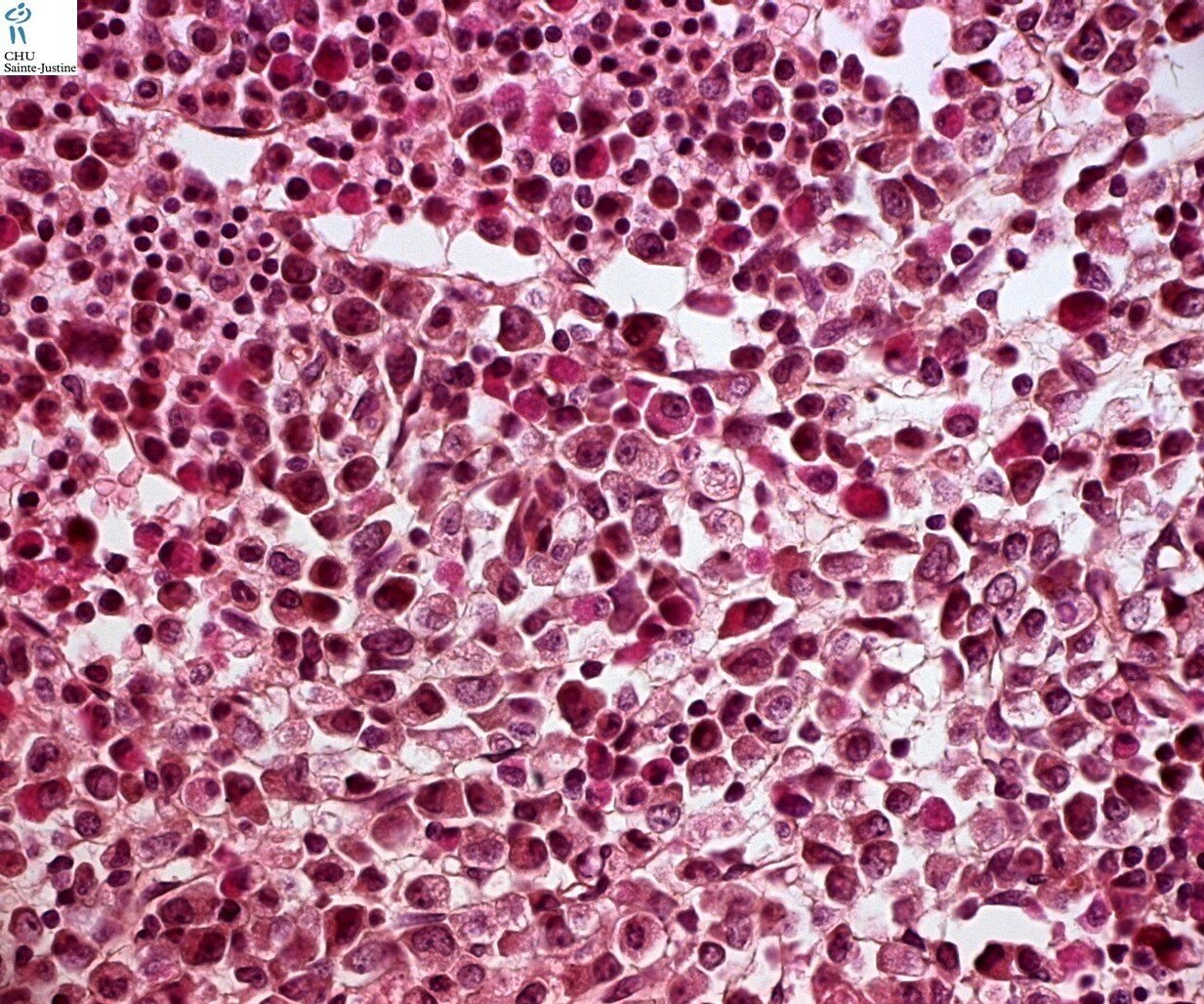
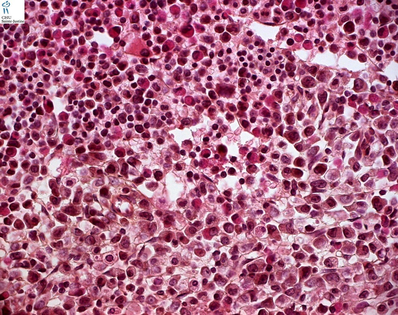
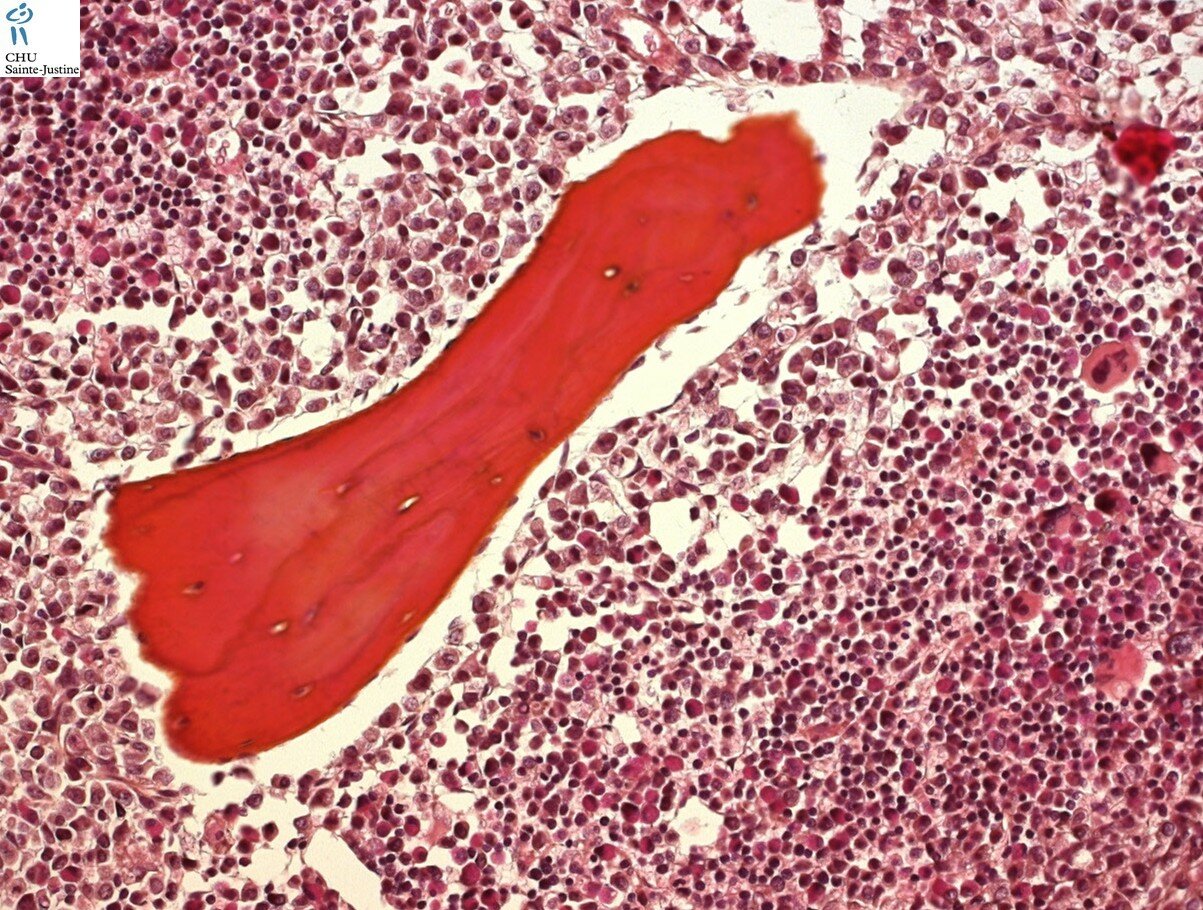
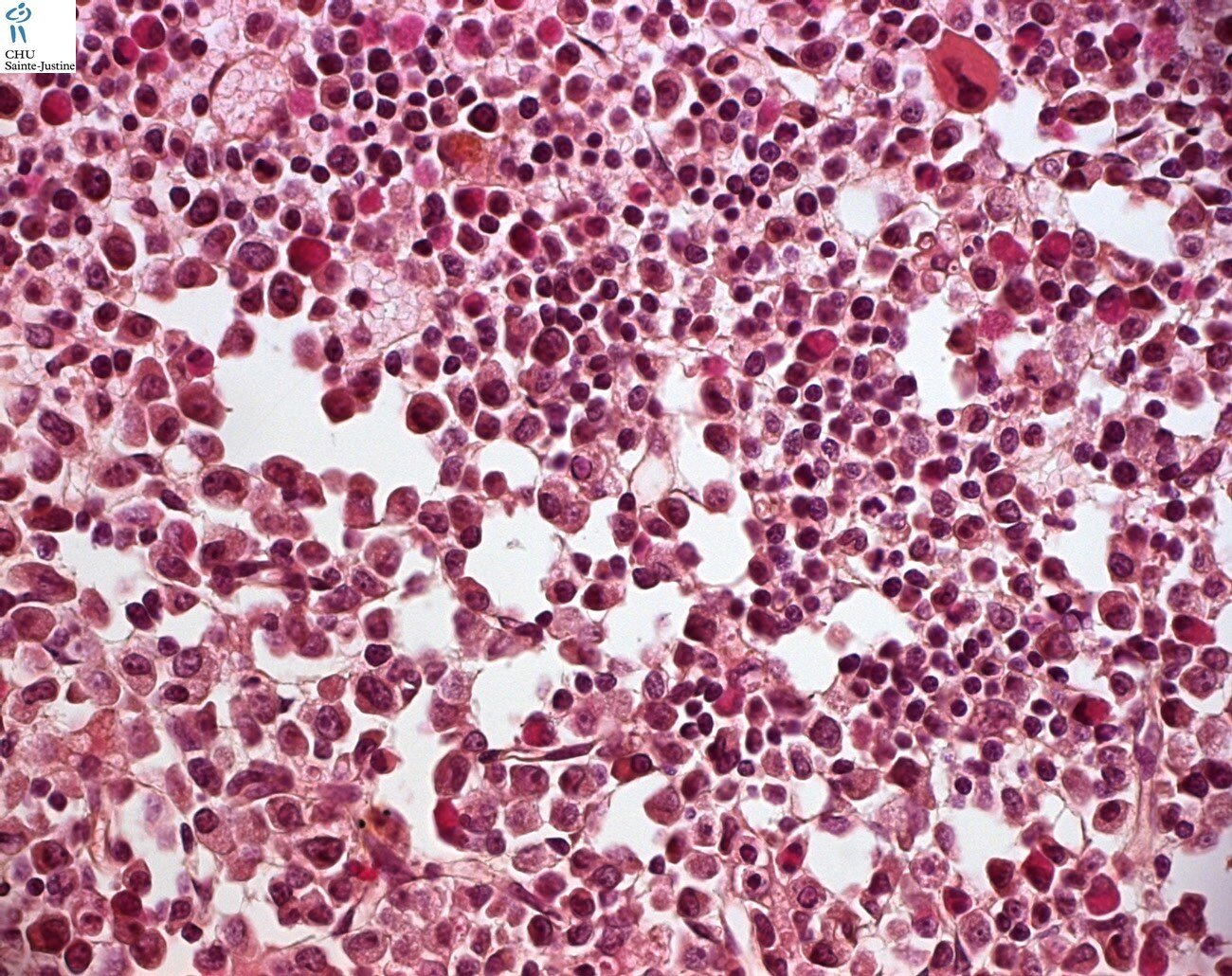
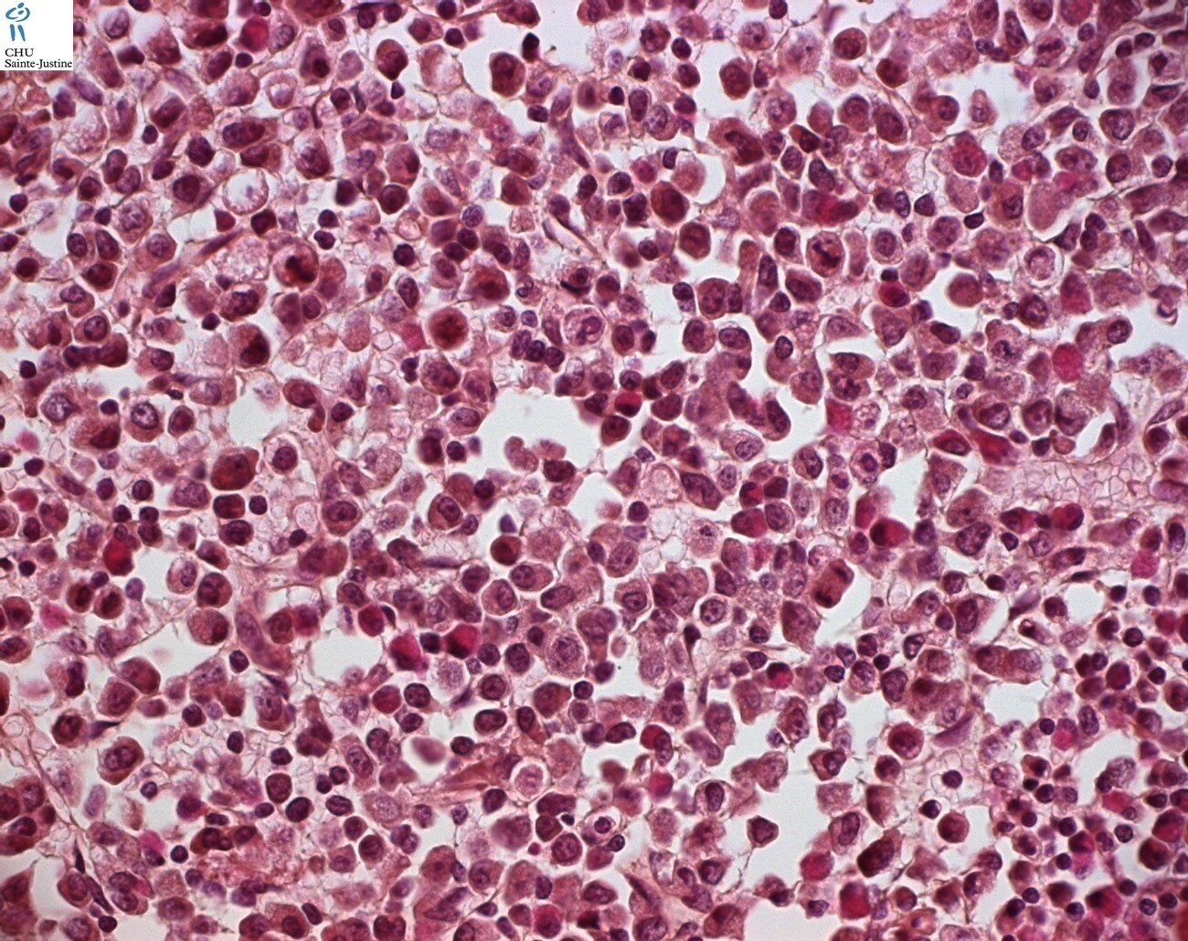
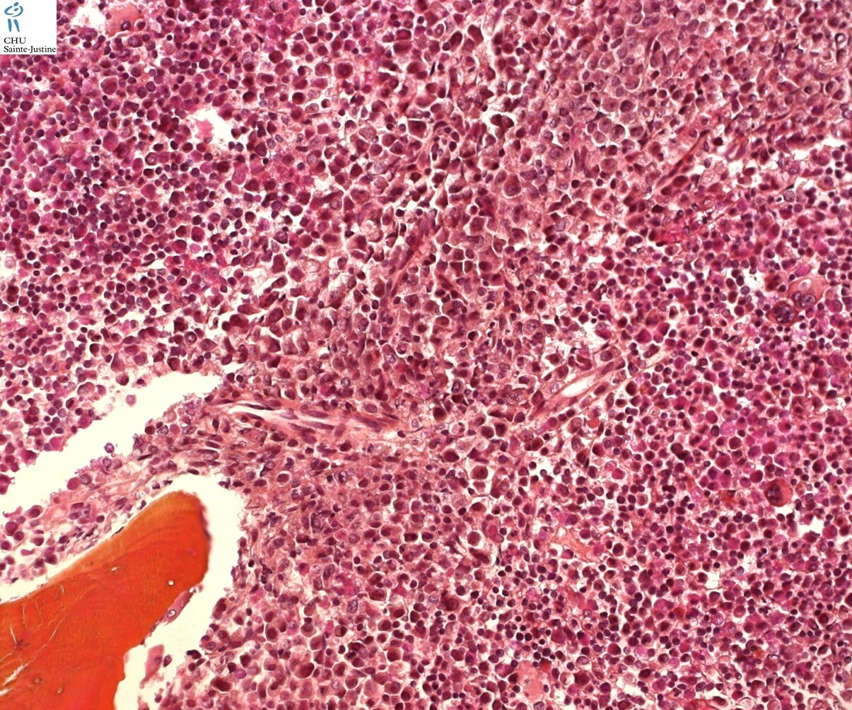
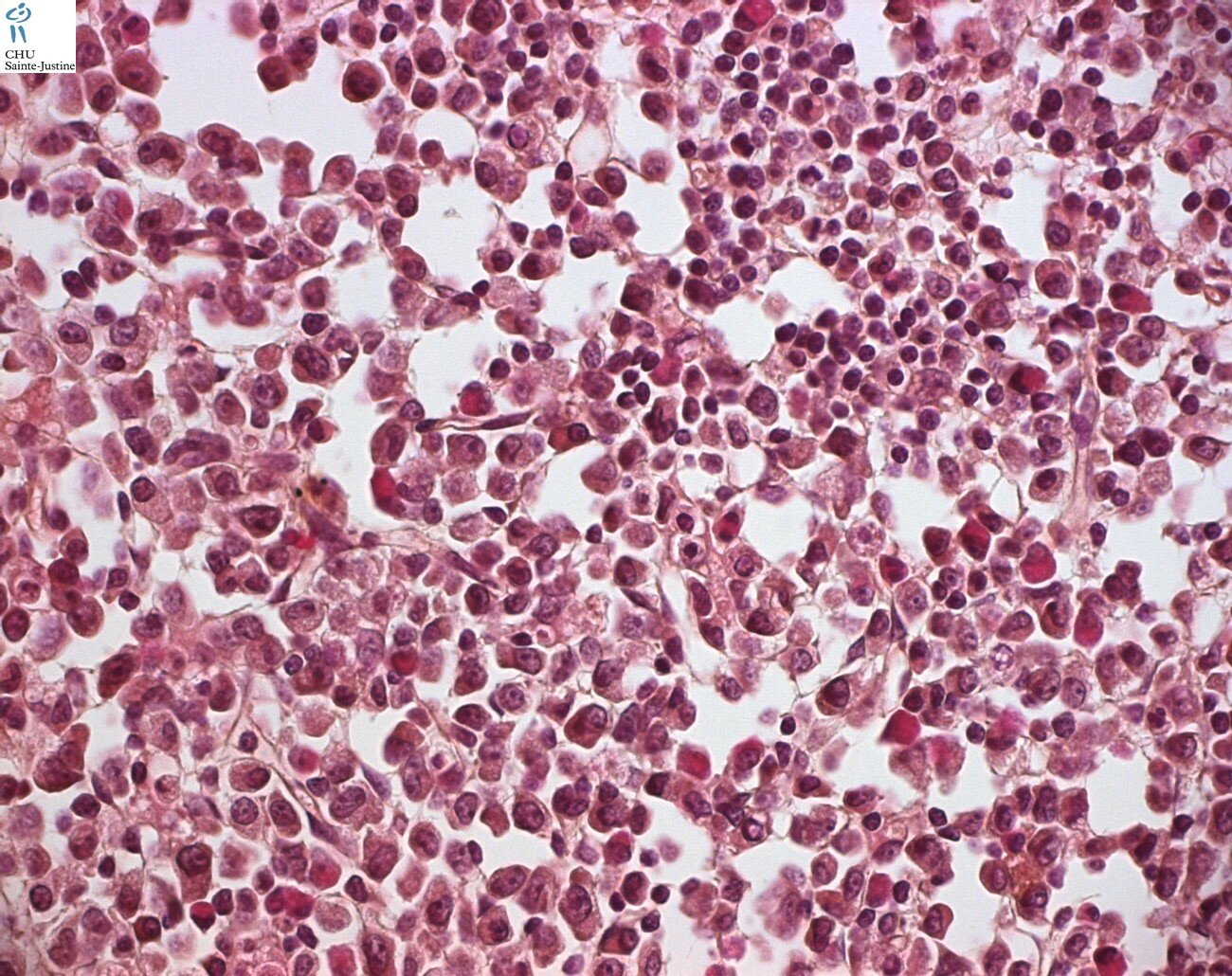
Morphology
Differential diagnosis
recessively inherited neutropenic syndromes
-
severe congenital neutropenias (SCNs)
- SCN1
- SCN2
- Kostmann agranulocytosis (SCN3)
- congenital neutropenia with eosinophilia (MIM.257100)
- Chediak-Higashi disease (MIM.214500)
- Fanconi disease (Fanconi pancytopenic syndrome (MIM.227650)
Reviews
Lekstrom-Himes, J. A.; Gallin, J. I. : Immunodeficiency diseases caused by defects in phagocytes. New Eng. J. Med. 343: 1703-1714, 2000. PubMed ID : 11106721
References
Stein R. Insights into the genetics of severe congenital neutropenia. Clin Genet. 2007 Oct;72(4):308-10. PMID: 17850626
Carlsson G, Melin M, Dahl N, Ramme KG, Nordenskjold M, Palmblad J, Henter JI, Fadeel B. Kostmann syndrome or infantile genetic agranulocytosis, part two: Understanding the underlying genetic defects in severe congenital neutropenia. Acta Paediatr. 2007 Jun;96(6):813-9. PMID: 17537008
Melin M, Entesarian M, Carlsson G, Garwicz D, Klein C, Fadeel B, Nordenskjold M, Palmblad J, Henter JI, Dahl N. Assignment of the gene locus for severe congenital neutropenia to chromosome 1q22 in the original Kostmann family from Northern Sweden. Biochem Biophys Res Commun. 2007 Feb 16;353(3):571-5. PMID: 17188649
Klein C, Grudzien M, Appaswamy G, Germeshausen M, Sandrock I, Schaffer AA, Rathinam C, Boztug K, Schwinzer B, Rezaei N, Bohn G, Melin M, Carlsson G, Fadeel B, Dahl N, Palmblad J, Henter JI, Zeidler C, Grimbacher B, Welte K. HAX1 deficiency causes autosomal recessive severe congenital neutropenia (Kostmann disease). Nat Genet. 2007 Jan;39(1):86-92. PMID: 17187068
Carlsson G, Andersson M, Putsep K, Garwicz D, Nordenskjold M, Henter JI, Palmblad J, Fadeel B. Kostmann syndrome or infantile genetic agranulocytosis, part one: celebrating 50 years of clinical and basic research on severe congenital neutropenia. Acta Paediatr. 2006 Dec;95(12):1526-32. PMID: 17129957

















