Home > E. Pathology by systems > Digestive system > Liver and pancreatobiliary system > Liver > ductular reaction
ductular reaction
Wednesday 25 June 2003
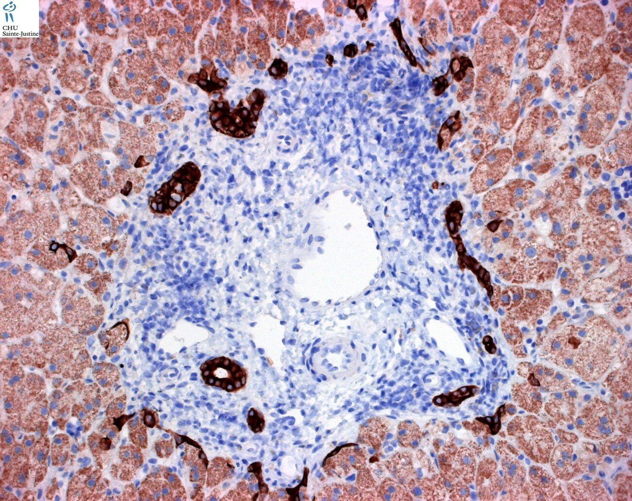
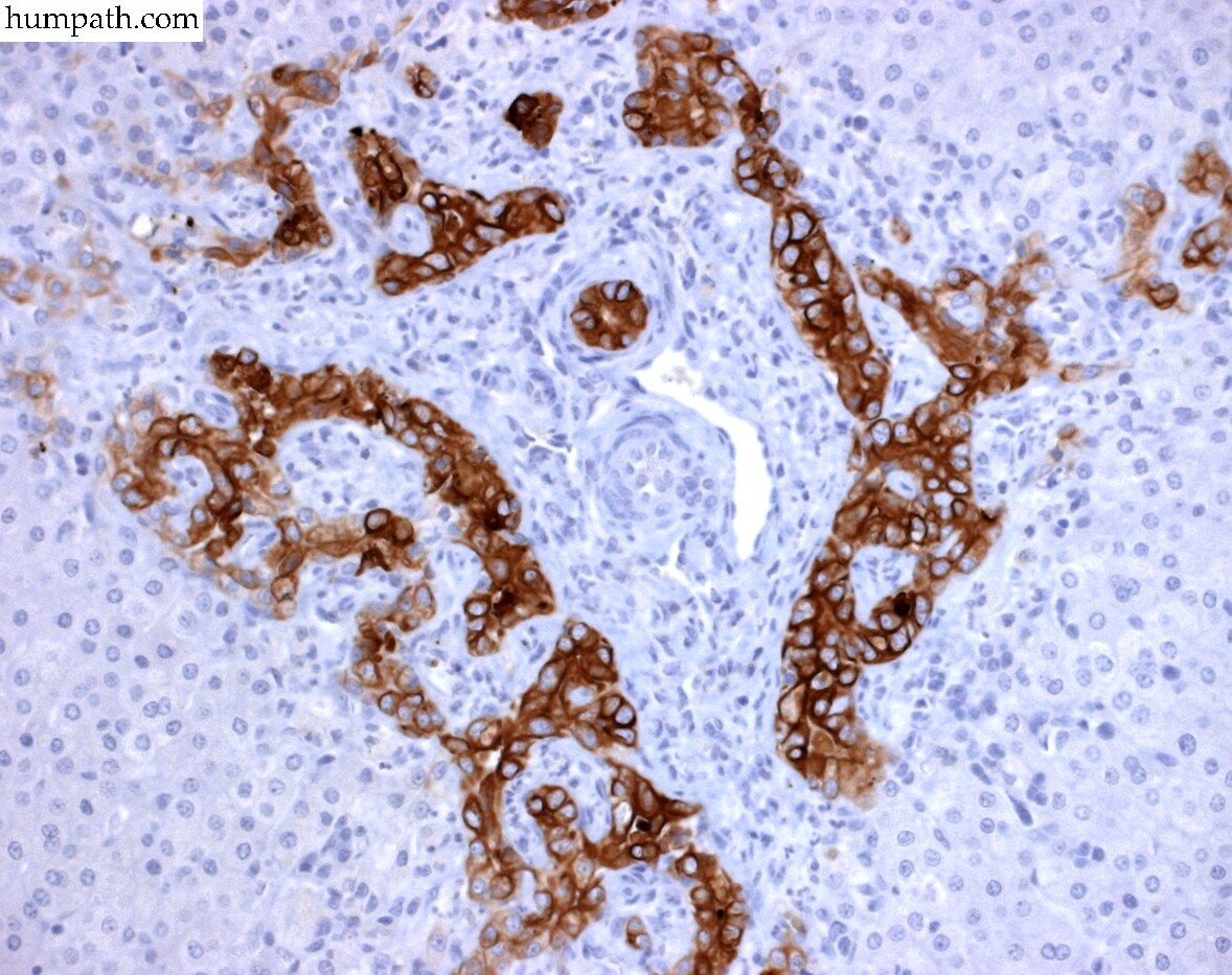
Definition: Increase in the number and prominence of small biliary channels in and around the portal tracts.
Synopsis:
tubular to elongated profiles
lined by cuboidal or columnar epithelium
well-defined lumen or not
Etiology:
acute or chronic cholestasis
sepsis
massive hepatic necrosis
hepatic fibrosis
hepatic cirrhosis
miscellaneous
- nephronophthisis-associated hepatic disease
- hepatic Ellis-van Creveld disease
Elementary lesions associated:
bile plugs
ductular dilatation
neutrophilic infiltration
Differential diagnosis:
must be distinguished from interlobular bile ducts







