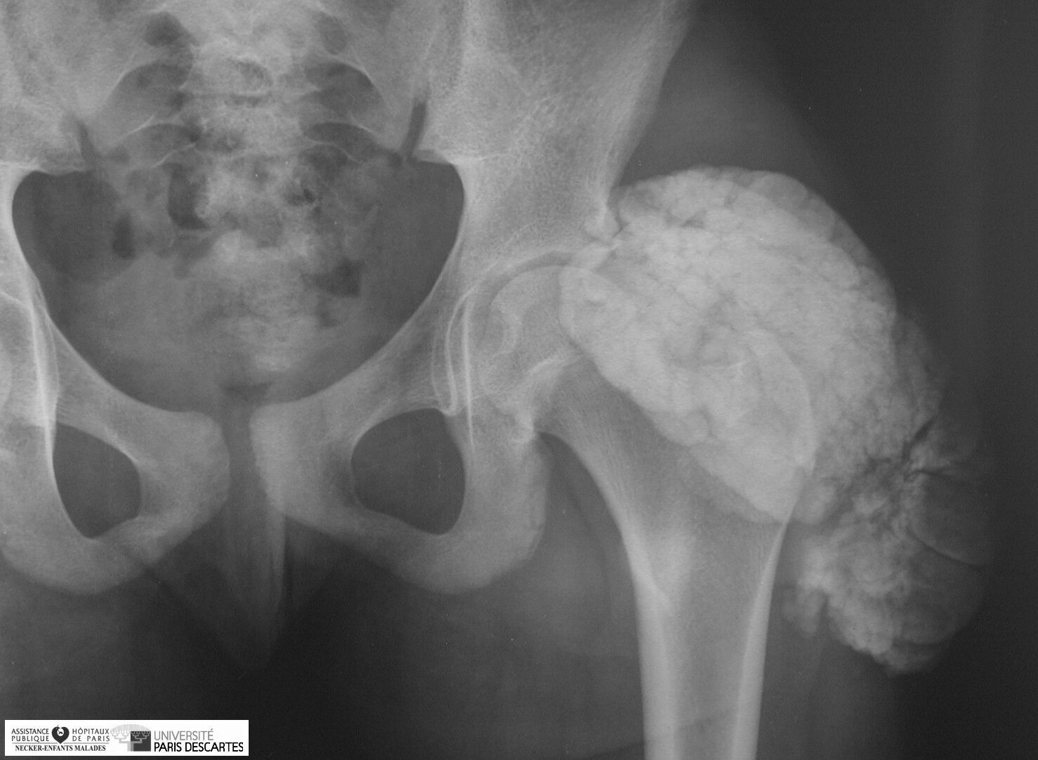
Home > F. Pathology by regions > Soft tissues > tumoral calcinosis
tumoral calcinosis
Friday 11 March 2011
Images
Tumoral Calcinosis
References
Tumoral calcinosis and epidural lipomatosis of the lumbar spine. Emon ST, Bozkurt SU, Gercek A, Ozgen S. Turk Neurosurg. 2011 Jan;21(1):110-2. PMID: 21294103 [Free]
Tumoural lipocalcinosis: a clinicopathological study of 20 cases. Veress B, Malik MO, El Hassan AM. J Pathol. 1976 Jun;119(2):113-8. PMID: 932877






