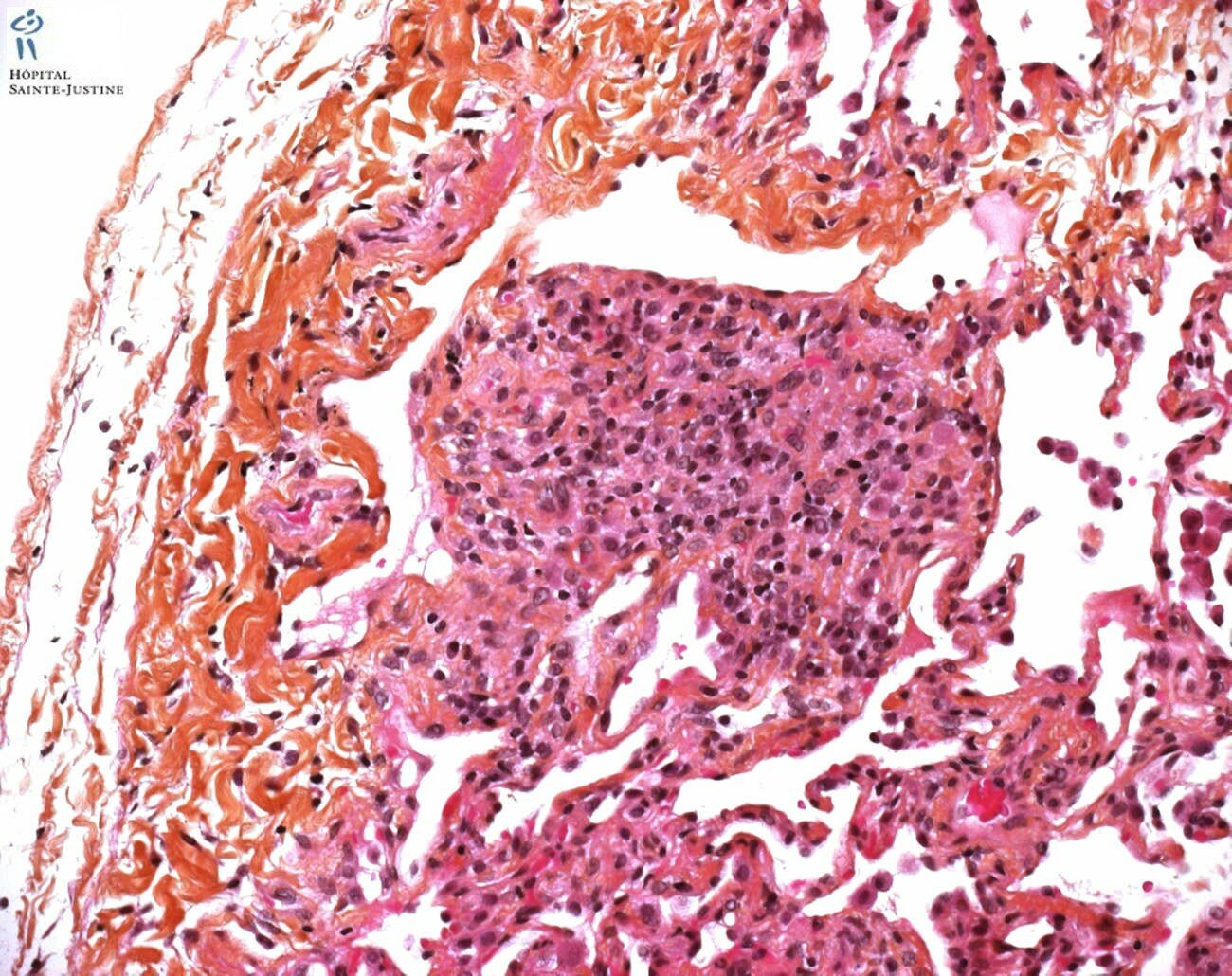
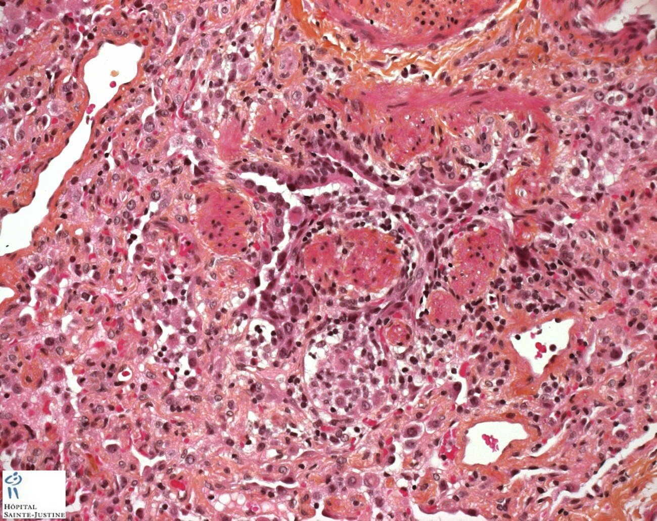
Home > E. Pathology by systems > Respiratory system > Lungs > necrotizing bronchiolitis
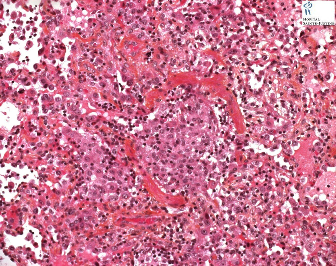
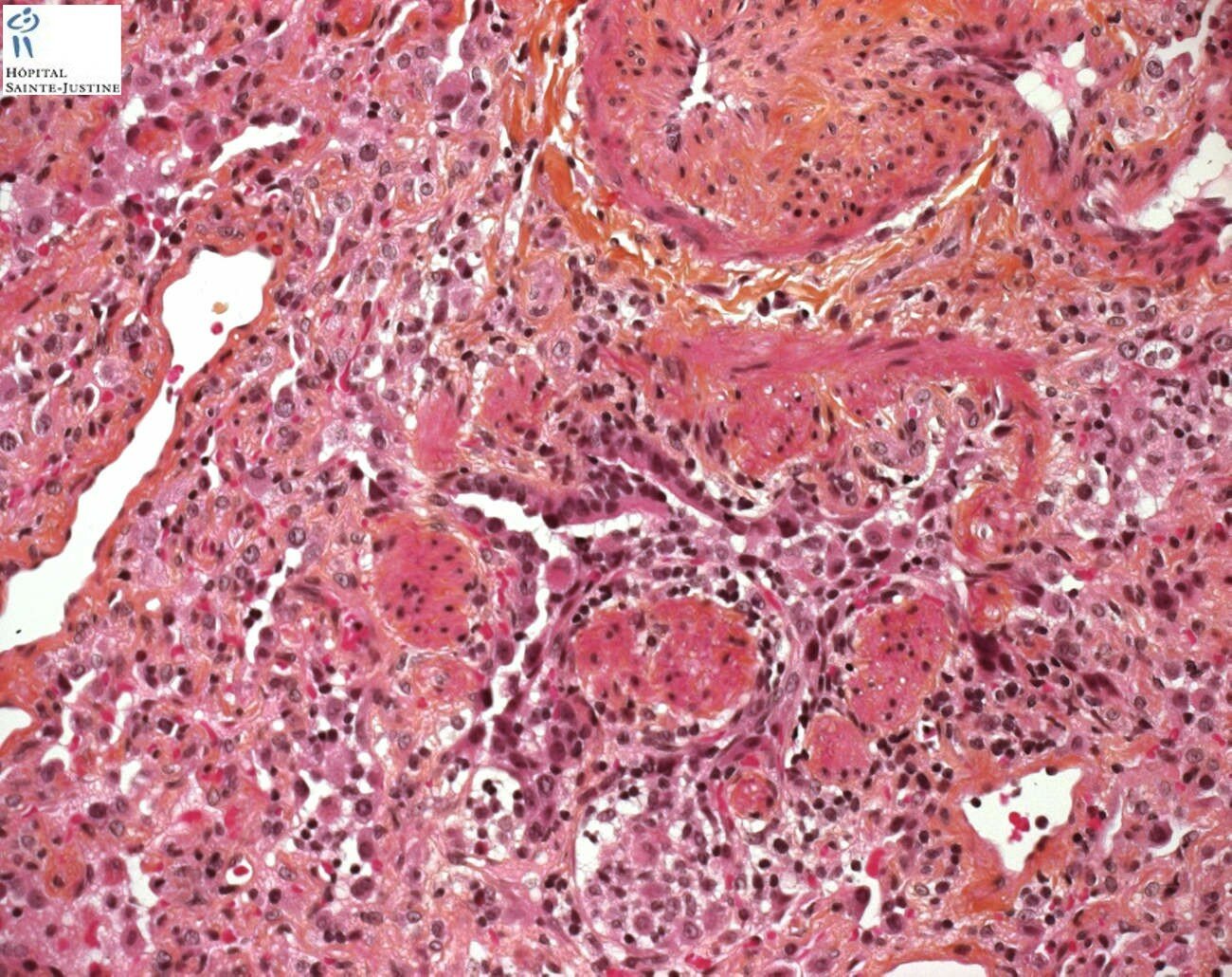
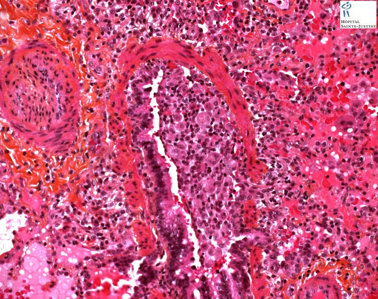
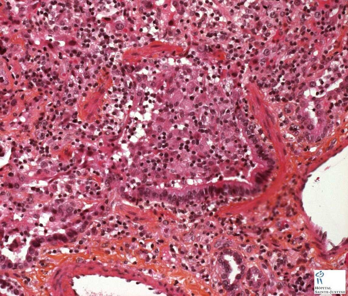
necrotizing bronchiolitis
Thursday 4 January 2007
See also
Bronchiolitis
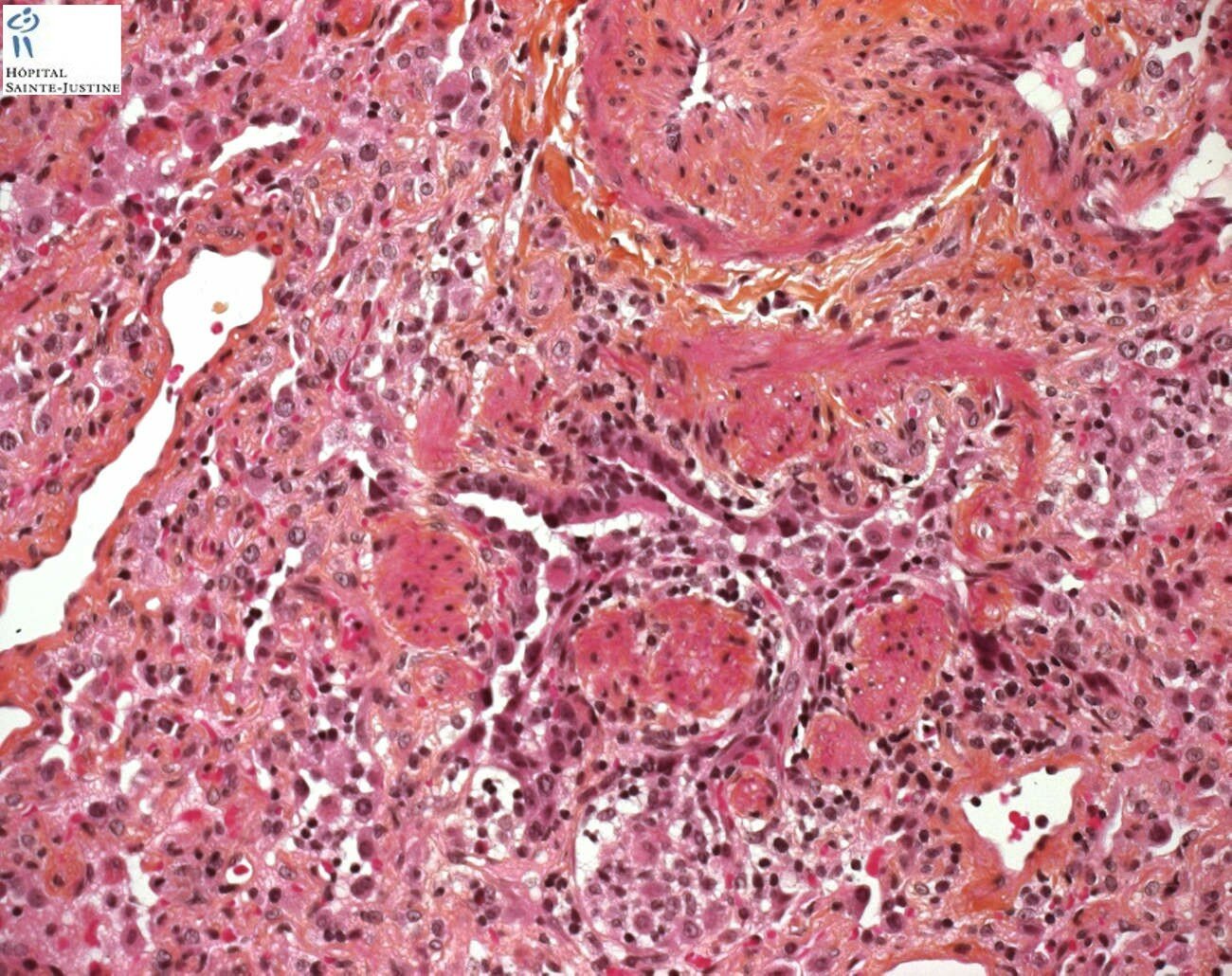
Home > E. Pathology by systems > Respiratory system > Lungs > necrotizing bronchiolitis
Thursday 4 January 2007
See also
Bronchiolitis