|
Pubmed |
emedicine |
OMIM |
NORD |
Web |
Ggl Images |
Yho Images |
Videos |
immature paraganglioma

Immature paraganglioma of the vesical region

Immature paraganglioma of the vesical region

Immature paraganglioma of the vesical region

NSE in immature paraganglioma of the vesical region

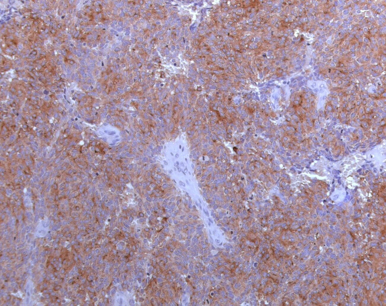
Synaptophysin staining in immature paraganglioma of the vesical region

Synaptophysin staining in immature paraganglioma of the vesical region
Forum de l'article
Contact us at humpath2004@yahoo.ca if you want to be the curator of this page or this section.
Copyright www.humpath.com