|
Pubmed |
emedicine |
OMIM |
NORD |
Web |
Ggl Images |
Yho Images |
Videos |
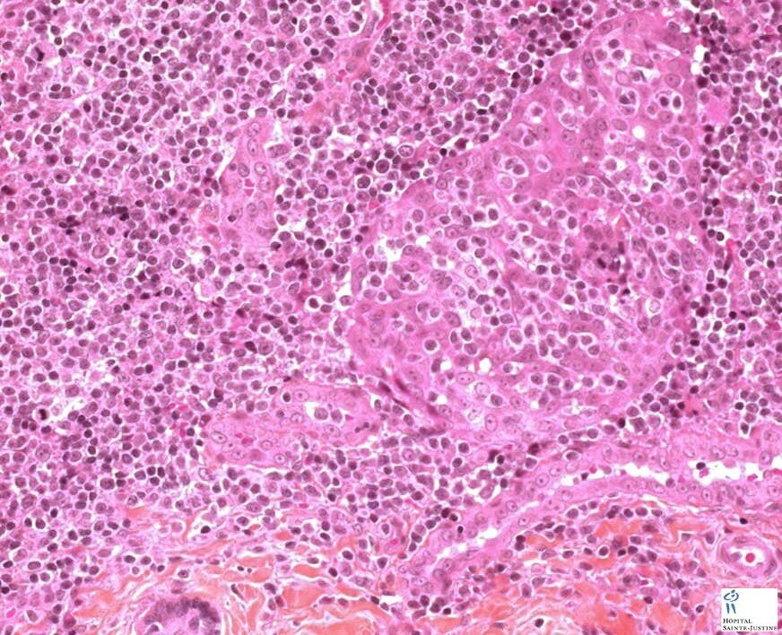
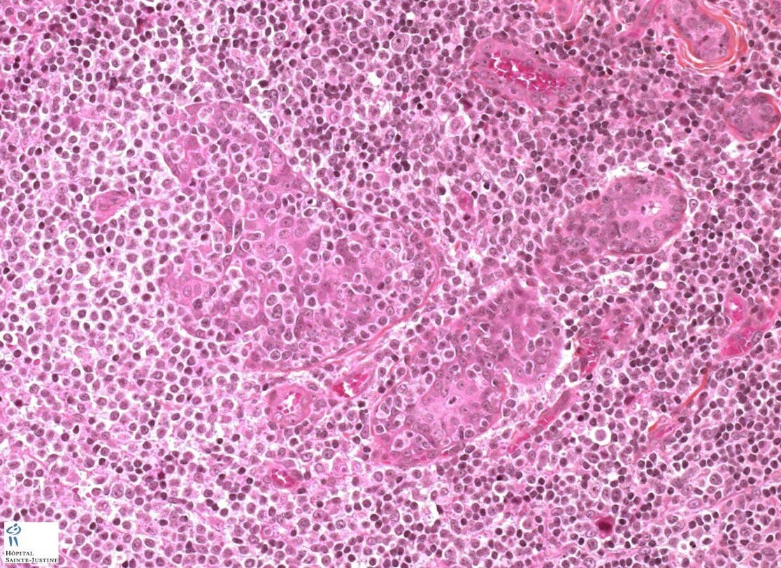
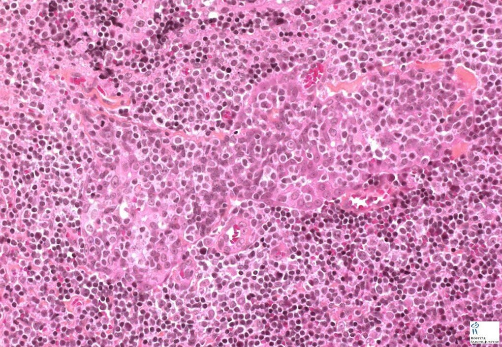
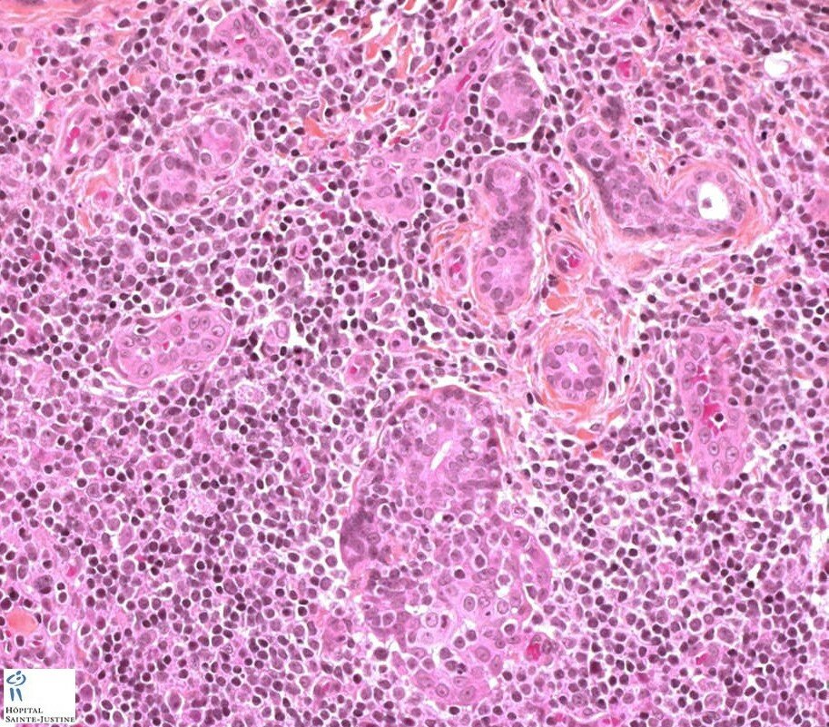
atypical salivary lymphoid hyperplasia

Atypical salivary lymphoid hyperplasia

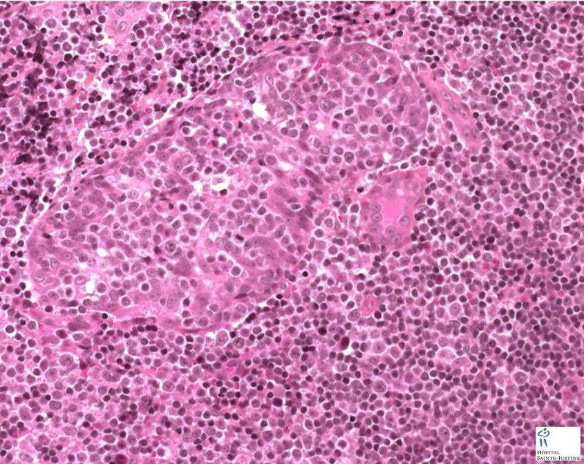
Atypical salivary lymphoid hyperplasia

Atypical salivary lymphoid hyperplasia

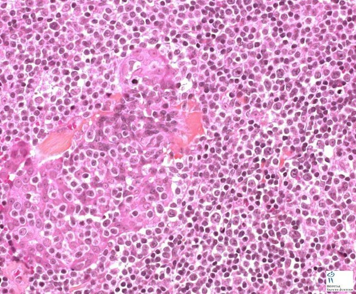
Atypical salivary lymphoid hyperplasia

Atypical salivary lymphoid hyperplasia

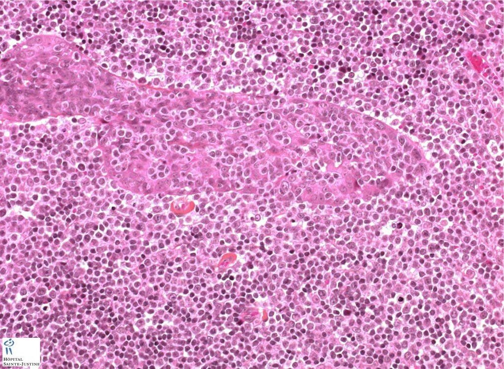
Atypical salivary lymphoid hyperplasia

Atypical salivary lymphoid hyperplasia

Atypical salivary lymphoid hyperplasia
Forum de l'article
Contact us at humpath2004@yahoo.ca if you want to be the curator of this page or this section.
Copyright www.humpath.com