Navigation
www.humpath.com
Map
General Index
Administration
E. Pathology by systems
A. Molecular pathology
Technical section
D. Systemic pathology
Urinary system
Endocrine system
Digestive system
Genital system
Kidneys
Urethra
Urinary bladder
Ureteres
Mots-clés associés à l'article
Macroscopical images
bronchiectasis
hand oligodactyly
renal malformations
ovarian cysts
Tumoral localizations
pancreatic desmoplastic small round cell tumor
bone marrow metastasis
salivary adenoid cystic carcinoma
vesical paraganglioma
|
Pubmed
|
emedicine
|
OMIM
|
NORD
|
Web
|
Ggl Images
|
Yho Images
|
Videos
|
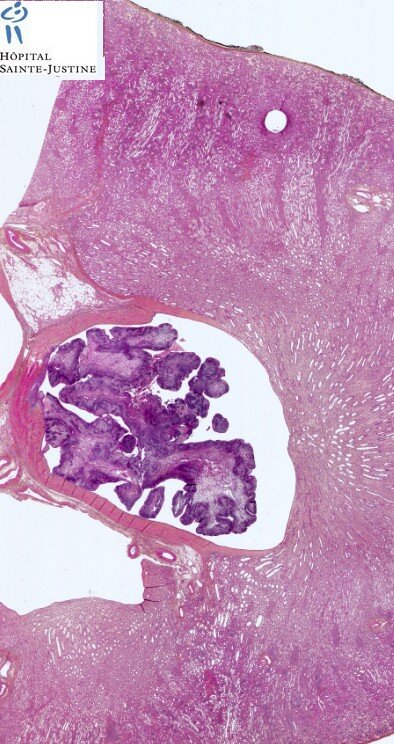
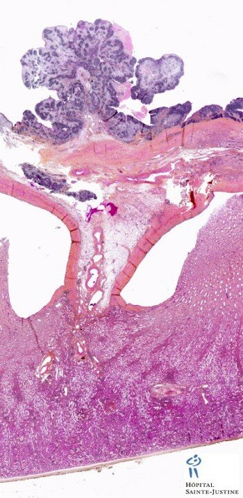
botryoid Wilms tumor
See also
Wilms tumor
(nephroblastoma)
Botryoid Wilms tumor
Forum de l'article
Contact us at humpath2004@yahoo.ca if you want to be the curator of this page or this section.
Copyright www.humpath.com