| Pubmed | emedicine | OMIM | NORD | Web | Ggl Images | Yho Images | Videos |

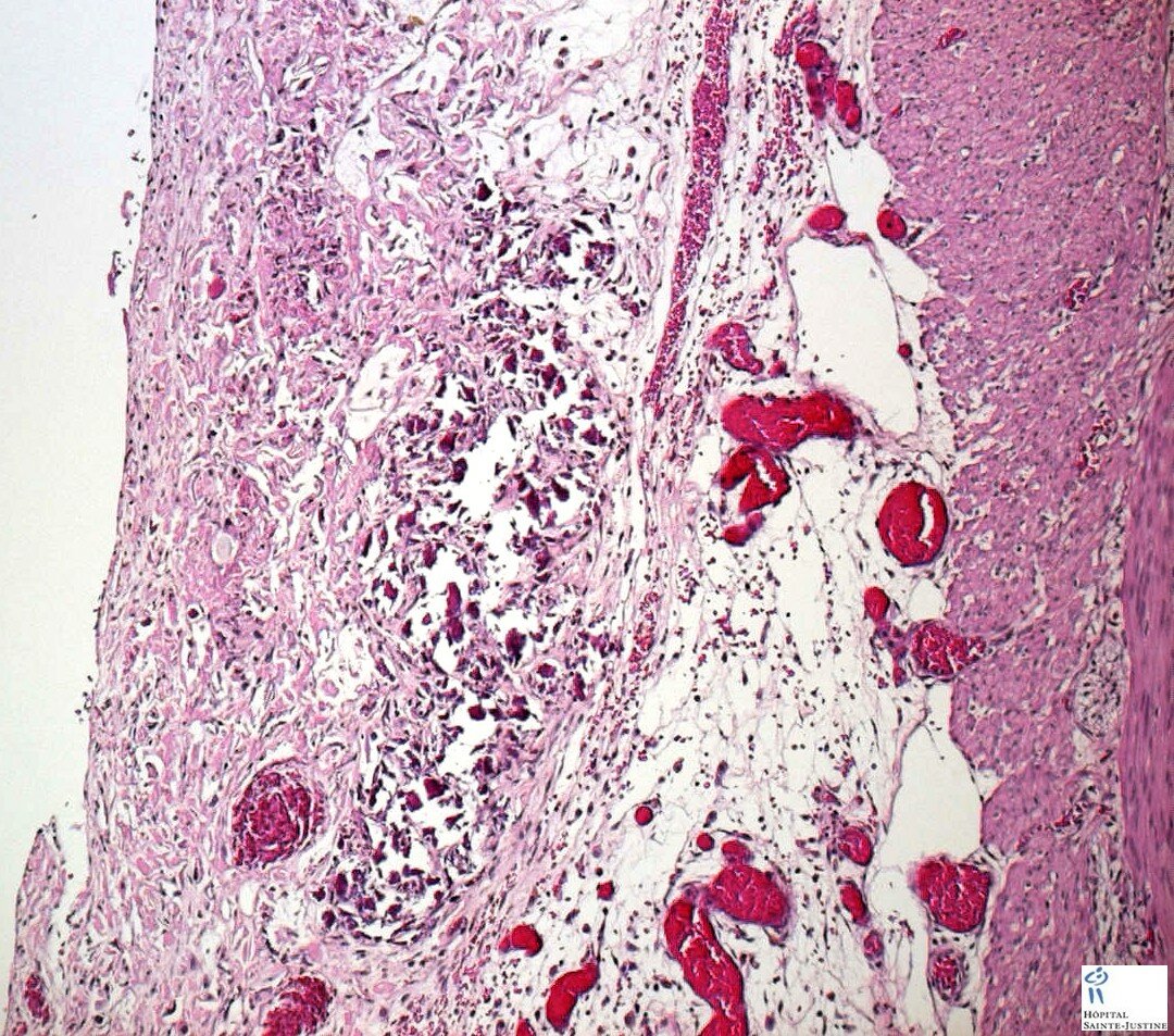
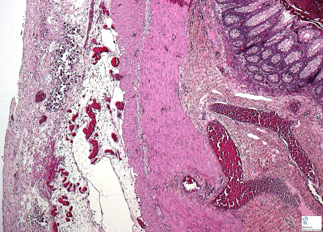
meconial peritonitis

meconium peritonitis

 

Etiology

-  fetal intestinal perforation

Complications

-  disseminated intravascular meconium

References

-  Yavner DL, Lage JM. Meconium peritonitis in stillbirths. Pediatr Pathol. 1988;8(6):617-23. PMID: #3244598#


Meconial peritonitis in fetal cystic fibrosis

Meconial peritonitis in fetal cystic fibrosis

Meconial peritonitis in fetal cystic fibrosis

Forum de l'article

Contact us at humpath2004@yahoo.ca if you want to be the curator of this page or this section.
Copyright www.humpath.com