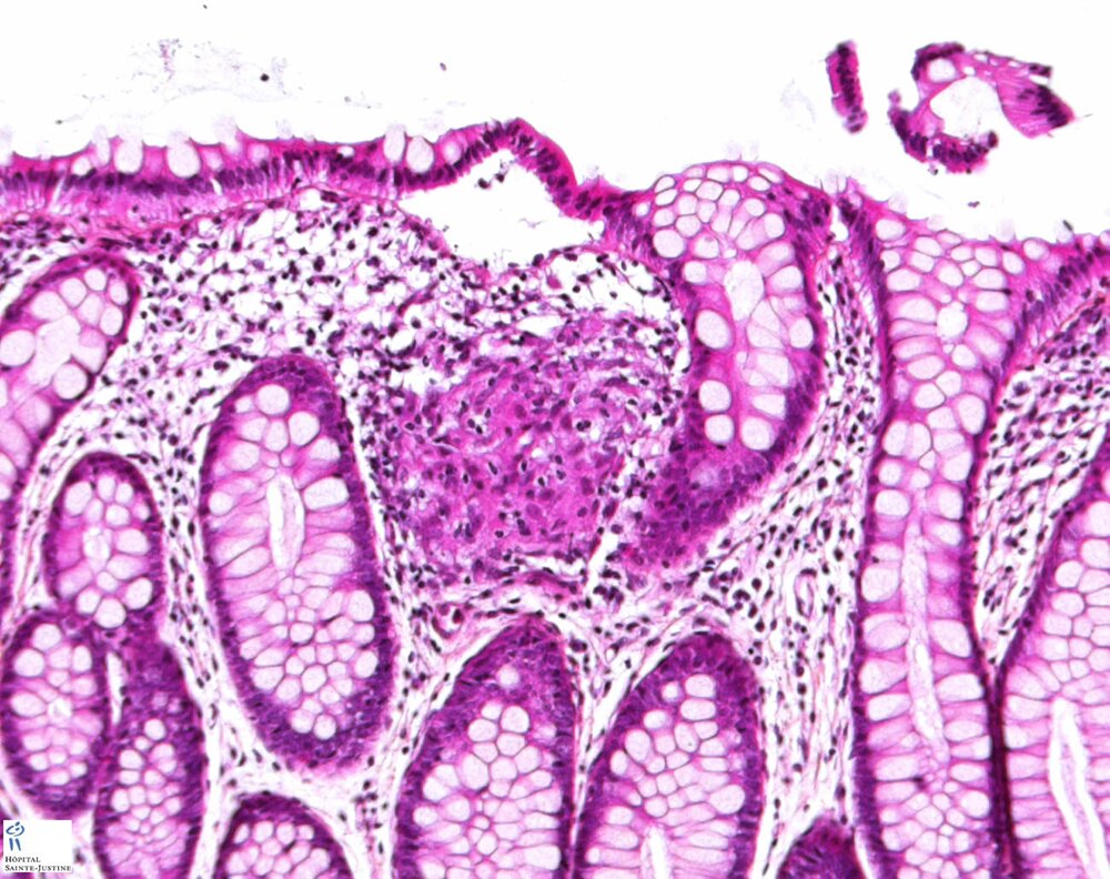
Etiology (exemples)
Crohn disease
tuberculous enterocolitis
digestive CGD (chronic granulomatous disease)
Hermansky-Pudlak syndrome
See also
- digestive granulomatoses
A website dedicated to human pathology
| PubMed | eMedicine | OMIM | Google | Google images | Yahoo images | YouTube |
Etiology (exemples)
Crohn disease
tuberculous enterocolitis
digestive CGD (chronic granulomatous disease)
Hermansky-Pudlak syndrome
See also

