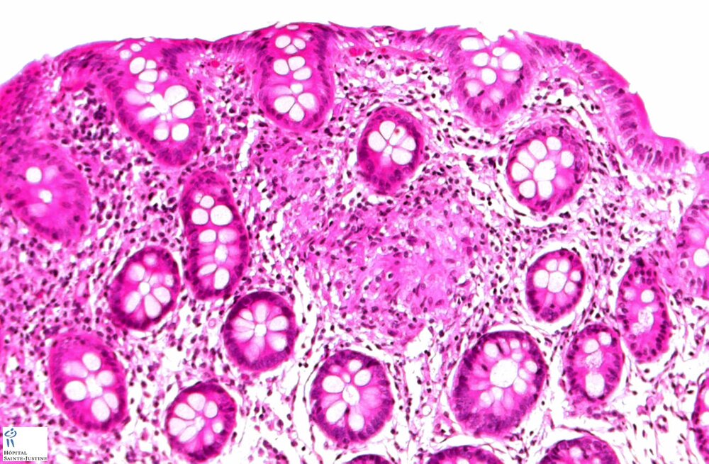
Etiology
colonic Crohn disease
tuberculous colitis
colonic sarcoidosis
A website dedicated to human pathology
| PubMed | eMedicine | OMIM | Google | Google images | Yahoo images | YouTube |
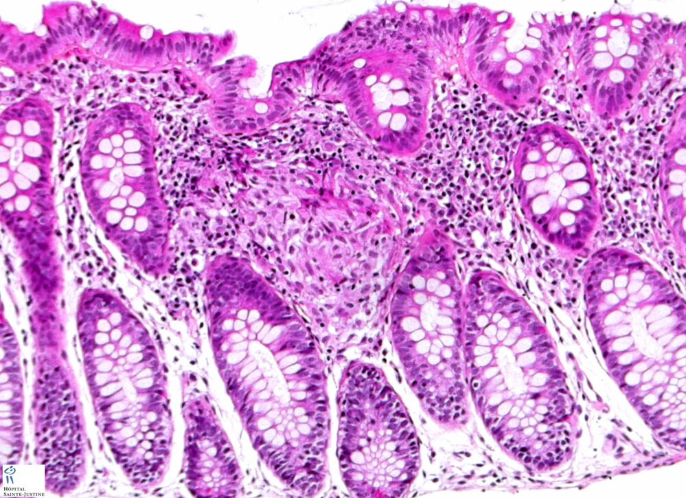
Etiology
colonic Crohn disease
tuberculous colitis
colonic sarcoidosis


