Autosomal dominant disease
Synopsis
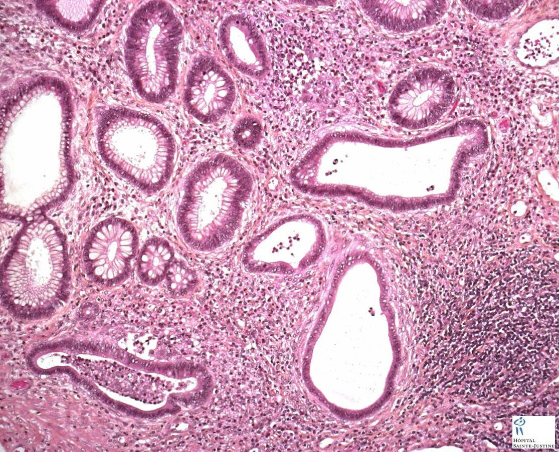
multiple digestive juvenile polyps
Association
hereditary hemorrhagic telangiectasia (#11795766#, #9892274#, #8165825#)
arachnoid cyst of the posterior fossa with cerebellar tentorium dysplasia (#12686769#)
Etiology
mutations in the MADH4 (SMAD4/DPC4) gene (MIM.600993) located on 18q21.1
mutations in the gene encoding bone morphogenetic protein receptor 1A (BMPR1A) (MIM.601299)
Associations
cardiac malformations
intestinal malrotation
craniofacial anomalies
tracheal stenosis
pulmonary arteriovenous malformation
intestinal malrotation
Meckel diverticulum
umbilical fistula
mesenteric lymphangioma
colonic adenocarcinoma (cancer not arising in polyps)
bifid uterus
vaginal duplication
cryptorchidism (undescended testes)
inguinal hernia
digital clubbing
polydactyly
porphyria
amyotonia congenita
Differential diagnosis
hereditary mixed polyposis syndrome (HMPS) (MIM.601228)


